肝癌多是「拖」出來的?上廁所出現3種異常,建議早做肝病篩查

2023-04-23     房香青     反饋
1/14
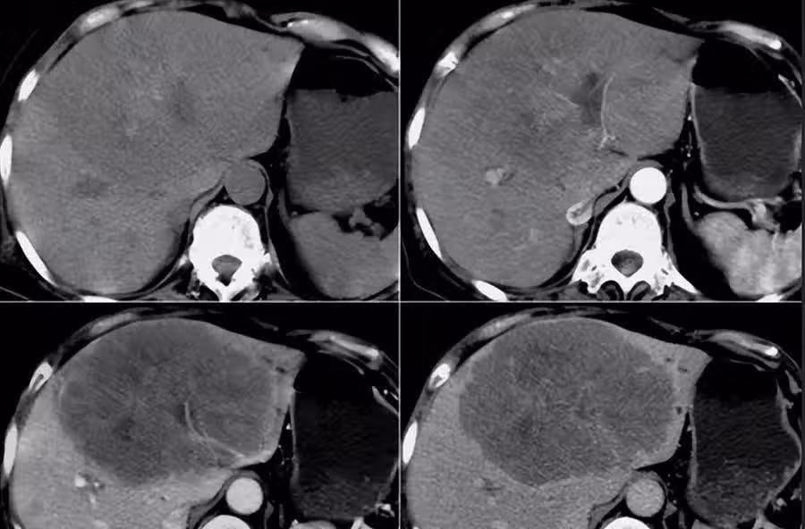
老王確診B肝14年不影響幹活, 但最近半個月老王總是出現上腹部疼痛且大便顏色呈棕黑色,去當地專科醫院做了血檢。 結果顯示他的轉氨酶高出正常兩倍多,CT結果顯示已經發展為肝癌晚期,且手術治癒率很低,讓老王和家人痛苦萬分。

據世界衛生組織統計我國肝癌發病占全球半數,死亡則占55%。那麼,今天我們來重點談一下怎麼才能在早期發現肝癌?什麼原因導致肝癌的發生?

一、上廁所時遇到這3種癥狀,應警惕肝癌的發生!

1、小便深黃,有臭味

肝臟是人體最重要的解毒器官和代謝器官。當肝癌發展到一定程度時,患者便會出現小便異常。由於肝內癌腫壓迫或侵犯到了膽管,可以引發梗阻性膽汁淤積,大量的膽紅素不能參與正常的血液循環,無法被及時的吸收代謝掉,血中的膽紅素不斷地在體內堆積, 進而形成深黃色的小便。
1/14
下一頁
幸山輪 • 84K次觀看
幸山輪 • 3K次觀看
喬峰傳 • 6K次觀看
呂純弘 • 3K次觀看
李雅惠 • 730次觀看
幸山輪 • 2K次觀看
幸山輪 • 860次觀看
幸山輪 • 2K次觀看
老臘肉 • 3K次觀看
李雅惠 • 490次觀看
李雅惠 • 290次觀看
呂純弘 • 1K次觀看
李雅惠 • 490次觀看
喬峰傳 • 1K次觀看
老臘肉 • 4K次觀看
喬峰傳 • 2K次觀看
奚芝厚 • 430次觀看
許夢可 • 350次觀看
舒黛葉 • 1K次觀看
喬峰傳 • 430次觀看
幸山輪 • 810次觀看
喬峰傳 • 3K次觀看
幸山輪 • 980次觀看
呂純弘 • 5K次觀看