世語圖說
2026年02月02日
聯繫我們
首頁
新聞
高雄婦人突「癱瘓」,切開脊椎見被爬滿「寄生蟲」原因是吃「此種食物」醫生都嚇到了!
2025-02-27
許夢可
反饋
2
/
6
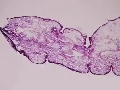
經過磁振造影檢查後,醫生群都對檢查結果感到疑惑,因為婦人的脊髓神經孔道中有許多條狀陰影,基本上只要有陰影就代表有東西在壓迫神經,但這和一般的腫瘤陰影大不相同,只好直接開刀清除,順便解開謎底。
上一頁
2
/
6
下一頁
玖壹壹春風 「二哥」 舉槍亡 見妻5分鐘成關鍵原因!
管輝若 • 154K次觀看
快訊/撼彈!蔣萬安宣布加碼「發錢補助!」
管輝若 • 25K次觀看
成立32年!台灣光電股王大廠「驚爆倒閉」曾年收100億,高層證實「9千坪廠房」僅法拍23億
呂純弘 • 12K次觀看
快訊/台北出大事了!2員警重傷,一人中彈身亡~
管輝若 • 12K次觀看
快訊/撼彈!卓榮泰突發文「火大了」!
呂純弘 • 12K次觀看
快訊/撼彈!卓榮泰突發文「火大了」
管輝若 • 2K次觀看
小S驚傳「牙齒斷4顆送醫....」傷勢嚴重 徐媽嚴肅問:「需要我跟許雅鈞談!」
舒黛葉 • 9K次觀看
花40萬整容, 變美後嫁富二代,卻因事情敗露被掃地出門, 如今她過的怎麼樣了?
劉奇奇 • 7K次觀看
校外教學遊覽車遇難「25名師生身亡…」 最小才幼兒園!
呂純弘 • 9K次觀看
新竹兄妹被5萬賣給鄰居!長大「拒養狠父母」法院判決曝光!
管輝若 • 6K次觀看
63歲梁朝偉不再隱瞞,坦白久居日本原因「結婚17年丁克」真相全說了
舒黛葉 • 12K次觀看
台知名歌后陳盈潔 腎衰竭逝世 一路走好
舒黛葉 • 16K次觀看
銀行存款新規定!11月開始執行了,存款超過30萬一定要注意了
奚芝厚 • 20K次觀看
八點檔男星傳驟逝!友人悲曝「他靜靜的走了」噩耗太突然了
舒黛葉 • 2K次觀看
被父母鎖在房間27年!42歲女「連陽台都沒去過」被發現時已瀕臨死.亡!
花伊風 • 3K次觀看
曾是「一代歌王」 卻淪為人人唾棄的負債老人,如今家破人亡下場淒涼!
舒黛葉 • 3K次觀看
校外教學遊覽車遇難「25名師生身亡」, 最小才幼兒園
管輝若 • 3K次觀看
快訊/台中14歲國中生驚傳「跳樓身亡」!母親「抱著遺體痛哭」曝光輕生原因!
管輝若 • 5K次觀看
機車「停路邊車格」仍吞600元罰單!車主傻眼「停管處解答了」
喬峰傳 • 9K次觀看
33歲男子被刑訊逼供後身亡!!遺孀淚訴「全身沒一塊好肉」...恐怖刑求手段曝:真相讓全網憤怒
喬峰傳 • 4K次觀看
女子早上去銀行領錢「行員多給7200元」她拒絕還錢嗆「不是說離櫃概不負責?」法院判決曝光
喬峰傳 • 8K次觀看
快訊/15歲國三女「校園墜樓送醫不治」 家屬崩潰「一看手機傻眼了」
花伊風 • 2K次觀看
走在桃園斑馬線上!42歲女星驚傳「遭汽車輾過」, 駕駛下車後「竟又倒車再輾」
管輝若 • 19K次觀看
快訊/64歲顏清標「悲曝他過世了」台中市副議長「出面證實死訊!」
舒黛葉 • 16K次觀看