世語圖說
2025年12月09日
聯繫我們
首頁
健康
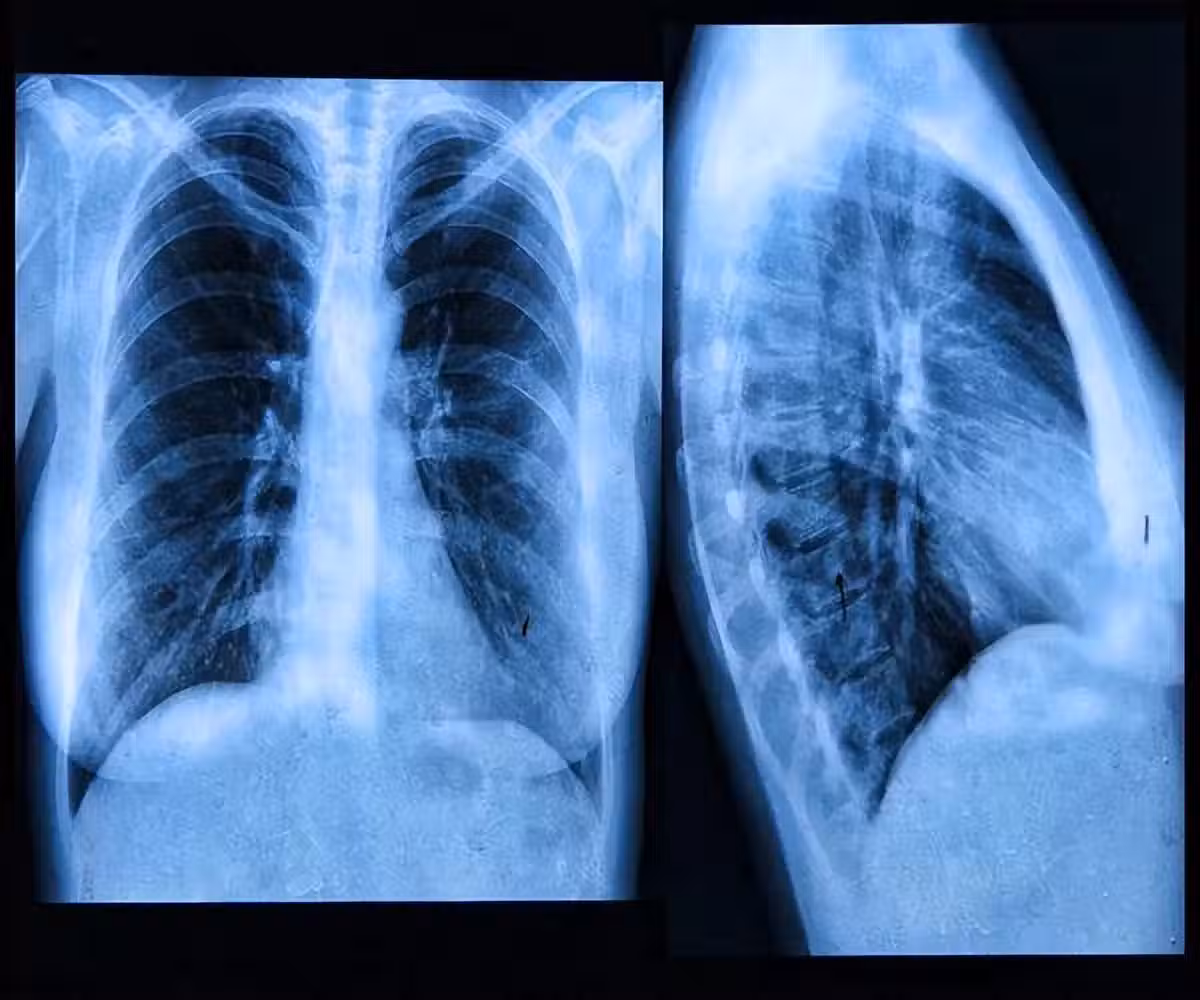
肺內有癌,腿疼告知?事實上,早期肺癌的5個跡象你更需要去關注❗
2025-01-28
劉奇奇
反饋
6
/
6
除此外,肺癌還有許多其他症狀表現,比如痰多、胸痛、食欲不振等。
肺癌對身體的傷害是不可逆轉的,因此當出現肺癌的相關症狀時,一定要及時給予對症,避免病情進一步惡化。
如果發展到了肺癌晚期,那麼即便是給予治療或化療,效果也會不盡人意。
上一頁
6
/
6
下一頁
經常咳痰的人,這6樣食物要避開,傷肺又加重,吃多了痰更難消
幸山輪 • 19K次觀看
體內有癌,屁眼先知?提醒:屁眼若常有5種不適,警惕癌症在靠近_腫瘤_感覺_症狀
幸山輪 • 670次觀看
子宮「不喜歡」的5種水果!柿子排最後 「排第1的」很多女性經常吃
喬峰傳 • 3K次觀看
60歲男子糖尿病致死!醫生:不想常坐救護車,這6種水果要少吃
呂純弘 • 860次觀看
吃到毒蛋怎麼辦?營養師教4招安心排毒 5至7天可排出體內
李雅惠 • 270次觀看
有沒有糖尿病,散步就知道?醫生:糖尿病患者,散步或有3個異常
幸山輪 • 450次觀看
癌症為啥越來越多?醫生:4種食物,再饞也要少吃,吃多了扛不住
幸山輪 • 160次觀看
醫生提示:腎衰早期除了泡沫尿,還有這幾個異常,一定要注意觀察
幸山輪 • 510次觀看
45歲中年女子確診脂肪肝,天天都吃番茄,3月後複診,醫生:怎麼吃的?
老臘肉 • 760次觀看
生、熟香蕉功效各異!營養師:依身體需求選擇最佳熟度
李雅惠 • 130次觀看
「嘴饞≠餓」恐是水喝不夠!營養師揭「缺水4警訊」:頭痛又易累
李雅惠 • 150次觀看
女性衰老「加速器」公布,勤洗頭排第2名,榜首才是關鍵
呂純弘 • 440次觀看
台灣人注意!醫勸「市場超夯3種魚」別吃了 曝1關鍵:恐加速失智、罹癌
李雅惠 • 140次觀看
再吃多一次,大腦萎縮就快一次!!這六種食物是大腦老化的「加速器」早知道早預防
喬峰傳 • 330次觀看
47歲阿姨「檢查出HPV」崩潰:我單身都沒親密生活欸!醫示警「中年女性常犯」觀念錯誤悔一生
老臘肉 • 4K次觀看
5年只喝桶裝水!!30歲夫妻「同時腹痛」竟罹肝癌…醫揪兇手是「它」全網傻眼:我家也在喝!!
喬峰傳 • 1K次觀看
癌症來臨,身體會喊痛!這6處出現疼痛「恐是癌症上門」:別以為只是累!
奚芝厚 • 170次觀看
脂肪肝沒了「早上改吃2物」 她三個月瘦5公斤 醫師也點頭
許夢可 • 110次觀看
今天才知道,這5種食物不會過期,放得越久越有價值,看完提醒家人.
舒黛葉 • 810次觀看
爸爸一個「親子動作」把兒子送進加護病房!! 醫生「一句重話」讓他當場崩潰跪地:一生無法原諒自己
喬峰傳 • 230次觀看
男人每天排尿次數接近這個數,那恭喜,尿毒症可能離你還很遠
幸山輪 • 110次觀看
醫生警告:早晨空腹時,千萬別吃這2種食物,會損傷胃粘膜,並加重原有的胃痛!!
喬峰傳 • 2K次觀看
睡覺時突然腿抽筋,就是缺鈣嗎?錯!與3種疾病有關,多加註意
幸山輪 • 250次觀看
「無聲殺手」食道癌一查就是惡性!其實喉嚨早早給暗示「2症狀趕快就醫…」
呂純弘 • 5K次觀看